Tel.: 02131-7737080 info_at_tierarzt-neuss-sued.de Kundenregistrierung

Unser Leistungsspektrum in der Kardiologie umfasst u.a.

Herzerkrankungen sind bei Hund und Katze eine häufig auftretende Problematik bei Tieren aller Altersklassen. Schon Welpen können durch angeborene Missbildungen betroffen sein und im Laufe eines Tierlebens kann es durch Infektionskrankheiten, Tumore oder einfach durch den Alterungsprozess zu einer Vielzahl von Herzerkrankungen kommen.

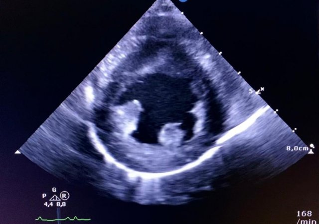
Echokardiographie

Durch ein speziell auf Kardiologie ausgerichtetes „high end“ Ultraschallgerät lassen sich u.a. Herzklappen untersuchen, die Flussgeschwindigkeit des Bluts bestimmen und Turbulenzen des Blutstroms im Herzen erkennen.

Langzeit EKG (Holter 24h EKG)

Viele Herzrhythmusstörungen lassen sich nur durch ein Langzeit EKG feststellen. Dieses wird mit kleinen Elektroden an der Brustwand des Patienten befestigt und zeichnet dann kontinuierlich die Herzaktivität auf. Das Holter EKG „nimmt das Tier“ für die Dauer der Aufzeichnung mit nach Hause. Hund oder Katze müssen hierfür also nicht in der Praxis stationär aufgenommen werden.