Tel.: 02131-7737080 info_at_tierarzt-neuss-sued.de Kundenregistrierung

Weichteilchirurgie

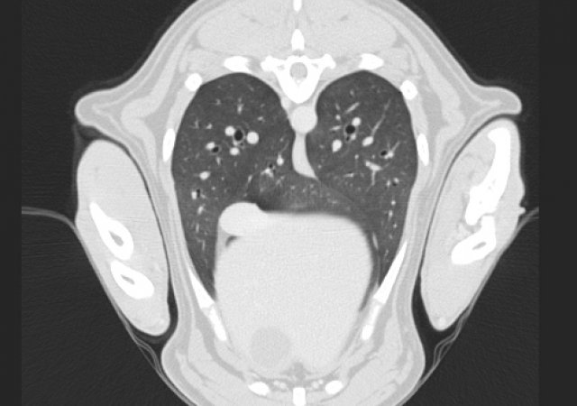
Mithilfe der technischen und fachlichen Voraussetzungen unserer Praxis decken wir beinahe das gesamte Spektrum der Weichteilchirurgie ab. Dank Sonographie (Ultraschall), Röntgen und Computertomographie können wir auch komplexe Fälle diagnostisch bestens aufarbeiten und Operationen entsprechend durchführen.
Aufgrund ihrer jahrelangen Berufserfahrung in Kliniken, Praxen und Tierheimen, sind Frau Danowski und Herr Dr. Krause in zahlreichen chirurgischen Eingriffen im Bereich der Weichteilchirurgie äußerst routiniert.

Unser Leistungsspektrum in der Weichteilchirurgie umfasst u.a.

Verdauungstrakt:
  • Magendarmtrakt
    - Fremdkörperentfernung
    - Tumorresektion
    - Vollschichtbiopsie
    - Einstülpung eines Darmabschnittes (Invagination)
    - Resektion rektaler Tumore und Polypen
  • Aussackungen des Bauchfelles im Perinealbereich (Hernia perinealis)
  • Leistenbruch (Hernia inguinalis) Nabelbruch (Hernia umbilicalis)
  • Analbeutelresektion (z.B. bei Tumoren oder chronischen Entzündungen)
Urogenitaltrakt:
  • Routinierte Kastration (weiblich/männlich) aller Tierarten, auch aller Heimtierarten (Kaninchen, Meerschweinchen und co.), insbesondere auch weiblicher Heimtiere
  • Gebärmuttervereiterung (Pyometra)
  • Operative Entfernung von Gesäugetumoren
  • Operative Entfernung einer Niere (Nephrektomie)
  • Angeborene Fehlbildungen
    - des Harnleiters (Ektopischer Ureter)
    - Rektovaginale Fistel
    - Intersexualität
    - Hyperplastische dorsale Vulvafalte
Abdomen:
  • Leberbiopsie chirurgisch, sowie auch minimalinvasiv unter Ultraschallkontrolle („Tru-Cut-Biopsie“)
  • Leber- und Gallenblasenchirurgie
  • Entfernung der Milz (Milzextirpation)
  • Eröffnung der Bauchhöhle (Explorative Laparotomie) zu diagnostischen Zwecken
Endokrinologie:
  • Resektion der Nebenniere (Adrenektomie)
  • Resektion der Schilddrüse (Thyroidektomie)
  • Resektion der Nebenschilddrüse (Parathyroidektomie)
Onkochirurgie:
  • Tumorresektion auch in anatomisch schwierigen Regionen mit rekonstruktiven Maßnahmen wie beispielsweise Hautlappenverschiebeplastiken oder freien Hauttransplantationen
  • Komplettes „Tumor Staging“ (Metastasensuche) mit CT der Lunge, Ultraschall des Bauchraums, Punktion von Lymphknoten oder von verdächtigen Umfangsvermehrungen
Wundversorgung:
  • Chirurgische Wundrevision
  • Behandlung großflächiger offener Wunden nach neusten Standards:
    - innovative Vakuumwundtherapie („negative pressure wound therapy“)
    - Langzeitverbandstherapie mit modernen Wundauflagen
  • Hautrekonstruktionsplastiken