Tel.: 02131-7737080 info_at_tierarzt-neuss-sued.de Kundenregistrierung

Orthopädie und Neurochirurgie

Humpeln, ein steifes Gangbild, Inaktivität (Bewegungsunlust) und reduzierte Lebensfreude sind die häufigsten Symptome von Gelenkerkrankungen bei unseren Haustieren. Schon junge Tiere haben oft erblich bedingte Gelenkerkrankungen u.a. an Ellbogen und Schultern. Auch durch Unfälle oder Verschleiß kann es im Laufe eines Tierlebens zu Problemen kommen.
Mit unserer langjährigen Erfahrung auf dem Gebiet der Orthopädie und Neurochirurgie, sowie unseren technischen Möglichkeiten auf Klinikniveau mit CT, Arthroskopie, digitalem Röntgen und orthopädischem Ultraschall, bieten wir Ihnen alle Möglichkeiten für die Betreuung unserer orthopädischen Patienten. Wir beraten und behandeln bei Frakturen, Kreuzbandrissen, Bandscheibenvorfällen, bis hin zu Ellbogengelenksdysplasie (ED), Hüftgelenksdysplasie (HD) und Osteochondrose (OC/OCD).
In seiner Tätigkeit als chirurgischer Oberarzt in einer großen Überweisungsklinik konnte Herr Dr. Krause langjährige Erfahrungen mit zahlreichen orthopädischen und neurochirurgischen Eingriffen sammeln und ist daher spezialisiert in diesen Bereichen.

Auch nach einer Operation ist uns die optimale Weiterversorgung unserer Patienten sehr wichtig. Durch engen Kontakt zu Physiotherapeuten und Haustierärzten gewährleisten wir eine optimale Rehabilitation Ihres Vierbeiners.

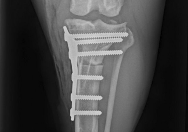
Kreuzbandriss/TPLO:

Der Riss oder vielmehr Anriss des vorderen Kreuzbandes ist die häufigste Ursache für eine Lahmheit beim Hund.
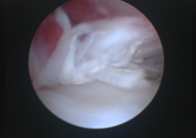
In unserer Praxis bieten wir mit der Arthroskopie die minimalinvasive Möglichkeit auch Anrisse des vorderen Kreuzbandes sicher zu diagnostizieren und gleichzeitig den häufig mitbetroffenen Meniskus zu untersuchen und zu operieren.
Zur Stabilisierung betroffener Knie empfehlen wir, unabhängig von der Größe des Patienten, die TPLO (Tibia Plateau Leveling Osteotomie).

Arthroskopie gerissenes Kreuzband

Arthroskopie gerissenes Kreuzband

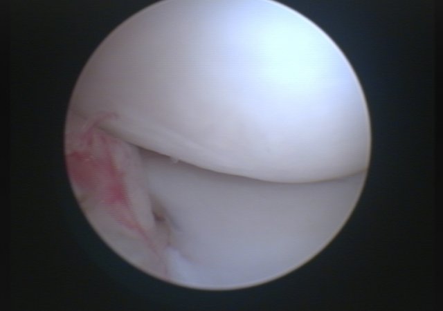
Arthroskopie Meniskus Nahaufnahme

Arthroskopie Meniskus Nahaufnahme

Arthroskopie Meniskus

Arthroskopie Meniskus

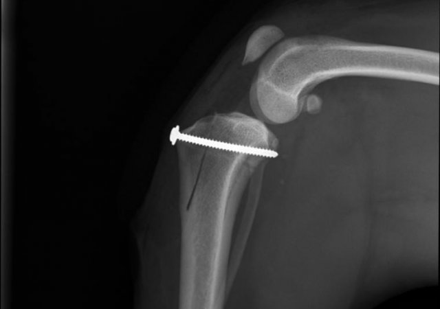
Patellaluxation

Nicht nur kleine Hunde wie Jack Russel Terrier, Yorkshire Terrier, Chihuahua und co. sind von der Patellaluxation (das Herausspringen der Kniescheibe) betroffen. Die Erkrankung findet sich bei Hunden aller Gewichtsklassen und bei einer Vielzahl an Rassen wie auch Mischlingen. Auch bei Katzen treten Probleme mit der Kniescheibe auf, wenn diese nicht dort sitzt, wo sie hingehört.
Nicht in allen Fällen bedarf es einer operativen Versorgung, jedoch sollte man die mittelfristigen Folgen einer ständig luxierenden Patella auf keinen Fall unterschätzen. Es besteht das erhöhte Risiko eines Kreuzbandrisses und kommt häufig zu Abnutzungen und einer dadurch bedingten Ausdünnung des Knorpels sowie zu Arthrosen.
Unter Berücksichtigung der individuellen Faktoren jedes Patienten (u.a. Alter, Gewicht und Aktivitätsgrad) entscheiden wir, welche Therapie zu Ihrem Tier passt.
Ist eine OP unausweichlich, so wird meist eine Transposition der Tuberositas Tibiae sowie eine Sulcoplastie durchgeführt. Bestehen zusätzlich massive Fehlstellungen der Hintergliedmaßen oder eine HD, können auch weitere Operationen wie Umstellungsosteotomien oder Operationen am Hüftgelenk erforderlich werden.

Hüftgelenksdysplasie (HD)

Hunde und Katzen aller Gewichtsklassen leiden unter Hüftgelenksproblemen. Oft bleiben diese lange unerkannt, dabei könnte man schon bei der klinischen Untersuchung eines Hundewelpen (in der achten bis 16. Lebenswoche) Anzeichen für eine erhöhte Laxizität des Gelenks finden. Durch eine frühzeitige Operation („juvenile Symphysiodese“ der Beckensymphyse) mit minimalem Risiko könnte die Wahrscheinlichkeit einer Hüftgelenksarthrose drastisch reduziert werden.
Bei älteren Hunden und Katzen wird die Hüftgelenksdysplasie meist durch das konventionelle „HD- Röntgen“ gepaart mit einer klinischen Untersuchung diagnostiziert.

Ellbogengelenksdysplasie (ED)

Die Ellbogengelenksdysplasie ist ein Sammelbegriff für unterschiedliche Probleme, die im Laufe des Wachstums entstehen und schon bei jungen Tieren zu einer immer wiederkehrenden Vorderbeinlahmheit führen.
Durch Screening Methoden wie dem ED-Röntgen kann man Hinweise auf einen frakturierten Processus coronoideus medialis ulnae (FCP) bzw. eine Coronoiderkrankung, einen isolierten Processus anconaeus (IPA) oder Wachstumsstörungen von Radius (Speiche) und Ulna (Elle) sehen. Für eine sichere Diagnostik ist jedoch die Computertomographie (CT) das Diagnostikum der Wahl.
Wir führen in unserer Praxis sowohl CT Untersuchungen des Ellbogens, als auch eine arthroskopische Beurteilung dieses Gelenks durch.
Die minimalinvasive Arthroskopie ergänzt in der Diagnostik von komplexen Fällen das CT und bietet gleichzeitig die Möglichkeit, Erkrankungen wie einen FCP oder eine OCD (Osteochondrose des Humerus) minimalinvasiv zu operieren.

Bandscheibenvorfall (Diskopathie) und Lähmungen

Jeder Hund kann einen Bandscheibenvorfall bekommen, doch meist sind es die kleinen (chondrodystrophen) Hunderassen, wie beispielsweise Französische Bulldoggen, Dackel, oder Jack Russel Terrier, die zu uns kommen, weil sie schwankend laufen oder gar vollständig gelähmte Gliedmaßen haben. Gerade bei den gelähmten Patienten ist schnelles Handeln erforderlich. Für die Diagnose bietet unsere Praxis das unbedingt notwendige CT.
Nicht jeder Bandscheibenvorfall kann und muss operiert werden. Ist eine Operation notwendig, so ist es häufig die Operation mit einem Ventralslot (Halswirbelsäule), einer Hemilaminketomie (Brust- und Lendenwirbelsäule) oder einer dorsalen Laminektomie (Cauda Equina Compressionssyndrom).
Werden diese schwierigen Operationen durchgeführt, so stellen sie meist die beste und einzige Chance dar, um diesen Patienten das Laufen wieder zu ermöglichen und ihnen Schmerzen zu nehmen. In seiner Tätigkeit als chirurgischer Oberarzt in einer großen Überweisungsklinik konnte Herr Dr. Krause Erfahrungen mit den genannten Bandscheibenoperationen sammeln und so Routine in diesem schwierigen chirurgischen Bereich entwickeln.
Gerade bei den neurologischen Patienten ist uns die weitere physiotherapeutische Betreuung Ihres Hundes ein wichtiges Anliegen.

CT Wirbelsäule

CT Wirbelsäule

CT Wirbelsäule

CT Wirbelsäule

CT Wirbelsäule 3D

CT Wirbelsäule 3D

CT Bandscheibe Transversal

CT Bandscheibe Transversal

Orthopädische Operationen aus unserem Leistungsspektrum:

Frakturbehandlung:
  • Plattenosteosynthese
  • Fixateur extern
  • Versorgung von Wachstumsfugenverletzungen
Erkrankungen von Muskeln und Sehnen
  • Versorgung von Sehnenverletzungen
  • Chronische Erkrankungen der Bicepssehne
  • Bandersatztechniken
Gelenkchirurgie
  • Ileosacralgelenksluxation
  • Reposition von luxierten (ausgerenkten) Gelenken
  • Bandersatztechniken
  • Arthrodese (Versteifung von Gelenken)
  • TPLO
  • Patellaluxation
  • Arthrotomie
  • Femurkopfhalsresektion